Diş Eti Hastalıkları: Belirtiler, Nedenler, Tedavi Yöntemleri 

Diş Eti Hastalıkları: Belirtiler, Nedenler, Tedavi Yöntemleri 

1. Diş Eti Hastalıkları Nelerdir?

Diş eti hastalıkları, dişleri çevreleyen dokuların iltihaplanması, zayıflaması veya yapısal olarak bozulmasıyla ortaya çıkan sorunlardır. Bu hastalıklar hafif seviyedeki gingivitis (diş eti iltihabı) ile başlayabilir ve ilerleyen dönemlerde periodontitis gibi diş kaybına yol açabilecek ciddi tablolarla devam edebilir. Ayrıca diş eti çekilmesi, diş eti büyümesi, apseler ve nekrotizan ülseratif gingivitis de bu gruba girer.

2. Diş Eti Hastalıklarının Belirtileri

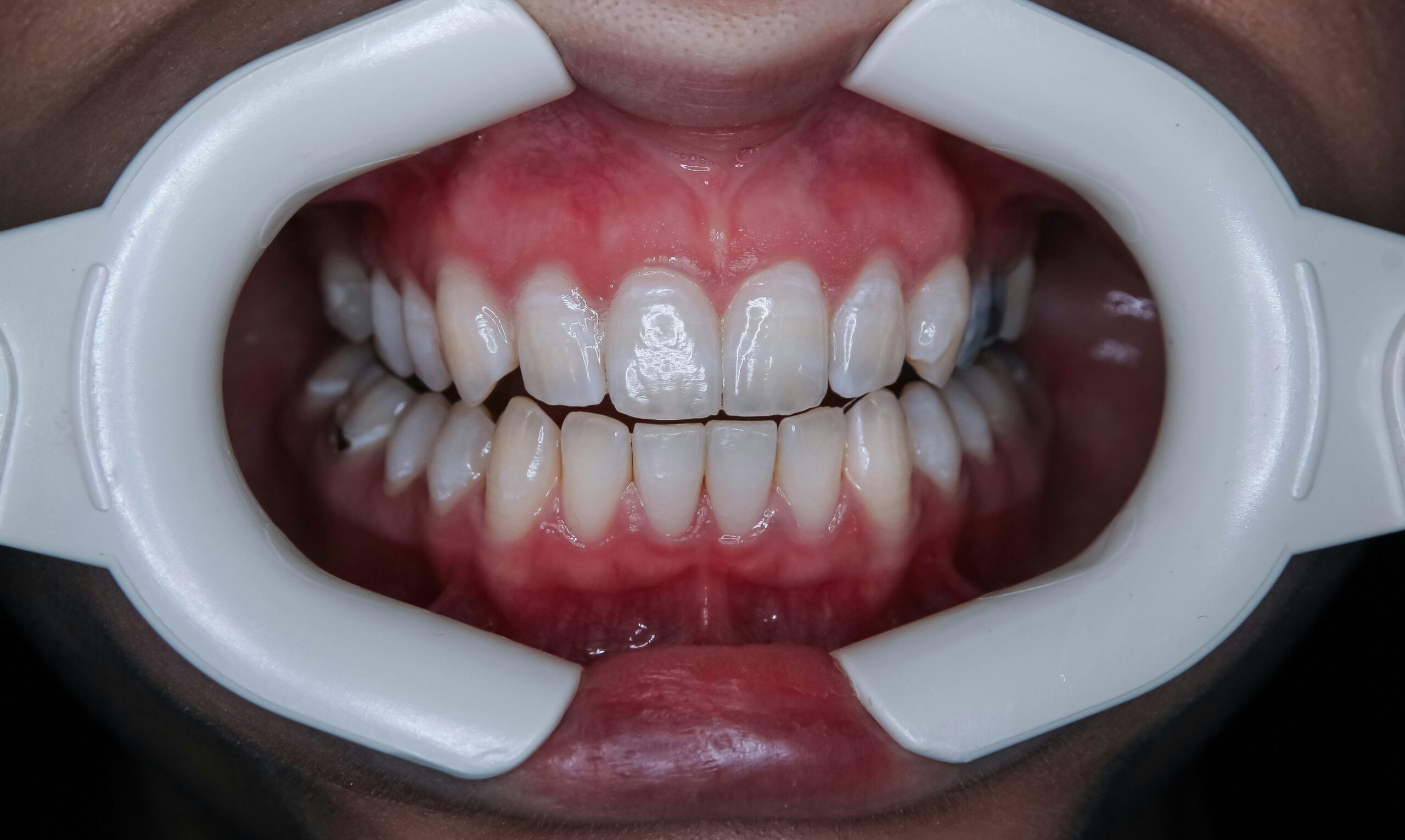
  • Diş Eti Kanaması: Fırçalama, diş ipi kullanımı veya sert yiyecek tüketimi sırasında sık görülür. Kanama, genellikle diş etlerinde iltihap olduğunun ilk işaretidir.
  • Diş Eti Şişmesi ve Kızarıklık: İltihaplı bölgelerde kan akışı artar ve diş etleri daha hassas, parlak ve kırmızı görünür.
  • Diş Eti Çekilmesi: Diş eti dokusunun geri çekilmesiyle diş kökleri açığa çıkar. Bu durum hem estetik sorunlara yol açar hem de hassasiyeti artırır.
  • Ağız Kokusu (Halitozis): Diş eti hastalıkları ilerlediğinde bakteriler kükürt bileşikleri üretir ve bu da kalıcı kötü ağız kokusuna neden olur.
  • Dişlerde Sallanma ve Çiğneme Zorluğu: Periodontitis ilerlediğinde dişleri tutan kemik dokusu zarar görür, bu da dişlerin sallanmasına ve çiğneme fonksiyonunun bozulmasına neden olur.

3. Diş Eti Hastalıklarının Nedenleri

  • Yetersiz Ağız Hijyeni: Düzenli fırçalama ve diş ipi kullanımının ihmal edilmesi, bakterilerin diş etlerinde birikmesine yol açar.
  • Sigara ve Tütün Ürünleri: Sigara, diş eti dokusuna oksijen ulaşmasını engeller, bağışıklık sistemini zayıflatır ve iyileşmeyi yavaşlatır.
  • Genetik Yatkınlık: Bazı bireyler kalıtsal olarak periodontitis gelişimine daha açıktır.
  • Yanlış Beslenme: C vitamini ve D vitamini eksiklikleri diş eti dokusunu zayıflatır. Özellikle C vitamini eksikliği, skorbüt benzeri diş eti problemlerine yol açar.
  • Sistemik Hastalıklar: Diyabet, bağışıklık sistemi bozuklukları ve hormonal değişiklikler (ör. gebelik) diş eti sağlığını doğrudan etkiler.
  • Diş Taşları (Tartar): Düzenli temizlenmeyen diş taşları, diş eti iltihabını tetikler ve ilerlemesine sebep olur.

4. Diş Eti Hastalıklarının Türleri

  • Gingivitis (Diş Eti İltihabı): En hafif formdur. Tedavi edilmediğinde periodontitise dönüşebilir.
  • Kronik Periodontitis: En yaygın tiptir. Yavaş ilerler, diş kaybına yol açabilir.
  • Agresif Periodontitis: Hızlı ilerleyen, özellikle gençlerde görülen bir tiptir.
  • Nekrotizan Ülseratif Gingivitis (NUG): Şiddetli ağrı, kanama ve ülserlerle seyreder.
  • Diş Eti Büyümesi (Hiperplazi): Bazı ilaçlar veya hormonal değişikliklere bağlı olarak gelişir.
  • Diş Eti Apsesi: Bakteriyel enfeksiyon sonucu cerahat birikmesidir.
5. Diş Eti Çekilmesi ve Tedavisi

Diş eti çekilmesi, hem estetik hem de fonksiyonel sorunlara neden olur. Tedavi yöntemleri şunlardır:

  • Düzenli Profesyonel Temizlik: Plak ve tartarın uzaklaştırılması çekilmeyi durdurabilir.
  • İlaç Tedavisi: Antibiyotik ve antiseptik gargaralar destek sağlar.
  • Cerrahi Yöntemler: İleri vakalarda diş eti grefti veya flep operasyonları uygulanır.

 Diş Eti Çekilmesi Hangi Hastalıkların Belirtisidir?Periodontitis, diyabet, bağışıklık sistemi zayıflıkları ve vitamin eksiklikleri diş eti çekilmesine yol açabilir.

 Doğal Yöntemler: Ilık tuzlu su gargarası, yeşil çay, aloe vera jeli diş eti dokusunu rahatlatabilir.

6. Diş Eti Hastalıklarının Tedavi Yöntemleri
  • Diş Taşı Temizliği ve Kök Yüzeyi Düzleştirme
  • Antibiyotik ve Antiseptik Uygulamalar
  • Lazerle Diş Eti Tedavisi
  • Cerrahi Müdahaleler (flep operasyonu, greft uygulamaları)
  • Destekleyici Takip ve Düzenli Kontroller
7. Evde Uygulanabilecek Yöntemler

Evde yapılabilecek uygulamalar hastalığı tamamen tedavi etmez ama destek sağlar:

  • Düzenli ve doğru fırçalama
  • Diş ipi ve ağız duşu kullanımı
  • Antibakteriyel gargara
  • Tuzlu suyla gargara
  • Sigara ve aşırı şeker tüketiminden kaçınma

Diş Eti Hastalıklarında Vitamin Eksiklikleri ve Beslenmenin Önemi

1. Diş Eti Hastalıklarında Vitamin Eksiklikleri

Vitamin eksiklikleri, diş eti sağlığını doğrudan etkileyen en önemli faktörlerden biridir. Özellikle bağışıklık sistemini destekleyen ve doku onarımında görev alan vitaminlerin yetersizliği, diş eti iltihaplanmalarına ve çekilmelerine zemin hazırlar.

  • C Vitamini Eksikliği:
  • C vitamini, kolajen üretiminde kritik rol oynar. Diş eti dokusunun sağlamlığını korur.
  • Eksikliğinde diş etleri kolayca kanar, şişer ve hassas hale gelir. İleri seviyede “skorbüt” adı verilen tabloya yol açabilir.
  • Günlük olarak turunçgiller, kivi, çilek, yeşil biber ve brokoli tüketmek bu eksikliğin önlenmesinde faydalıdır.
  • D Vitamini Eksikliği:
  • D vitamini kalsiyumun emilimini artırır ve diş-kemik sağlığı için vazgeçilmezdir.
  • Eksikliğinde diş eti hastalıkları daha hızlı ilerler, kemik erimesi riski artar ve implant tedavilerinde başarı oranı düşer.
  • Güneş ışığı en doğal kaynağıdır. Ayrıca balık, yumurta sarısı ve D vitamini destekli süt ürünleri de tüketilmelidir.
  • B Vitamini Eksiklikleri:
  • Özellikle B2 (riboflavin), B3 (niasin), B6 (piridoksin) ve B12 eksiklikleri ağız içinde yaralara, diş eti iltihaplarına ve dilde yanmaya neden olur.
  • Eksiklik durumunda diş eti iyileşmesi yavaşlar, iltihaplanmalar daha sık görülür.
  • Kırmızı et, yumurta, süt ürünleri, tam tahıllar ve yeşil yapraklı sebzeler iyi kaynaklardır.
  • A Vitamini Eksikliği:
  • A vitamini, mukozal dokuların sağlığını korur. Eksikliğinde diş etleri daha kolay enfekte olur.
  • Havuç, ıspanak, tatlı patates ve balık yağı bu vitamini destekler.
  • K Vitamini Eksikliği:
  • K vitamini, kanın pıhtılaşmasında görev alır. Eksikliğinde diş eti kanamaları daha uzun ve yoğun olabilir.
  • Yeşil yapraklı sebzeler, brokoli ve yeşil çay zengin kaynaklardır.

Vitamin eksiklikleri diş eti hastalıklarının başlamasında ve ilerlemesinde büyük rol oynar. Bu nedenle yeterli vitamin desteği, diş eti tedavilerinin başarısını artırır.

2. Diş Eti Hastalıklarında Beslenmenin Rolü

Sağlıklı bir beslenme düzeni, diş eti sağlığının korunmasında en az diş fırçalamak kadar önemlidir.

  • Antioksidan Zengini Besinler:
  • Meyve ve sebzeler, serbest radikalleri azaltarak diş eti dokusunu korur. Özellikle çilek, yaban mersini, nar, ıspanak ve lahana diş etlerini güçlendirir.
  • Protein Kaynakları:
  • Yeterli protein tüketimi, doku onarımı için şarttır. Balık, tavuk, yumurta ve baklagiller, diş eti iyileşmesini hızlandırır.
  • Kalsiyum ve Fosfor:
  • Diş ve çene kemiğinin sağlamlığını korumada kalsiyum ve fosforun rolü büyüktür. Süt, yoğurt, peynir, badem ve susam bu mineraller açısından zengindir.
  • Şeker ve Asitli İçeceklerden Kaçınma:
  • Fazla şeker tüketimi, ağızda bakteri plağını artırarak diş eti iltihaplarını tetikler. Gazlı içecekler ise hem diş minesini zayıflatır hem de diş etlerini tahriş eder.
  • Omega-3 Yağ Asitleri:
  • Somon, uskumru, ceviz ve keten tohumu gibi gıdalarda bulunan omega-3, antiinflamatuar etkisiyle diş eti iltihabını azaltır.
  • Bol Su İçmek:
  • Ağız kuruluğu, bakterilerin kolayca üremesine yol açar. Düzenli su içmek, tükürük salgısını artırarak ağız içi dengesini korur.

 Beslenme Önerileri:

  • Her öğünde sebze ve meyve tüketin.
  • Rafine şeker yerine doğal tatlandırıcılar kullanın.
  • Günde en az 2 litre su içmeye özen gösterin.
  • İşlenmiş gıdalardan uzak durun.
  • Düzenli olarak süt ve süt ürünleri tüketin.
8. SGK, Özel Sigortalar ve TSS
  • SGK: Devlet hastanelerinde ve üniversite hastanelerinde temel diş eti tedavilerini karşılar. Ancak estetik amaçlı işlemler genellikle kapsam dışıdır.
  • Özel Sağlık Sigortaları: Poliçeye göre diş tedavilerini kapsayabilir.
  • Tamamlayıcı Sağlık Sigortası (TSS): SGK ile birlikte kullanılabilir, özel hastanelerde daha düşük ücretle tedavi imkanı sunar.
9. Tedavi Fiyatları ve Nerede Yapılır?

Diş eti tedavi fiyatları; hastalığın şiddetine, uygulanacak tedavi yöntemine ve merkeze göre değişir.

  • Devlet Hastaneleri ve Üniversite Hastanelerin de diş eti tedavisi Daha ekonomik seçeneklerdir.
  • Özel Diş Klinikleri: Kişiye özel ileri tedavi yöntemleri uygulanır.
  • Magnet Hastanesi Ankara da diş eti tedavisinde modern cihazları, uzman periodontoloji ekibi , Laboratuvar ve ileri tetkikler (panoramik röntgen, tomografi)ile kısa sürede ve hızlı tedavi imkanı sunar.

10. Sık Sorulan Sorular (FAQ)

1. Diş eti çekilmesi geri düzelir mi?

Hayır, kendi kendine düzelmez. Ancak erken müdahale ile ilerlemesi durdurulabilir.

2. Diş eti iltihabı tedavi edilmezse ne olur?

Periodontitise dönüşür ve diş kaybına yol açabilir.

3. Diş eti kanaması normal midir?

Hayır. Sürekli kanama diş eti hastalığının en yaygın belirtisidir.

4. Diş eti hastalıklarına hangi vitamin iyi gelir?

C vitamini, D vitamini ve kalsiyum destekleyici rol oynar.

5. Diş eti ağrısına evde ne iyi gelir?

Tuzlu su, adaçayı gargarası, soğuk kompres uygulanabilir.

6. SGK diş eti tedavisini karşılar mı?

Evet, devlet ve üniversite hastanelerinde temel tedavilerin bir kısmını kapsayabilir.

7. Özel sigortalar diş eti tedavisini karşılar mı?

Poliçeye bağlıdır, çoğu zaman ek teminat gerekir.

8. Diş eti hastalıkları tamamen iyileşir mi?

Erken tedavi ile evet. İlerlemiş vakalarda kontrol altına alınır ama kalıcı hasar engellenemeyebilir.

9. Diş eti tedavisi ne kadar sürer?

Hastalığın şiddetine göre birkaç seanstan birkaç aya kadar sürebilir.

10. Ankara’da en iyi diş eti tedavisi nerede yapılır?

Magnet Hastanesi, modern yöntemleri, uzman kadrosu ve merkezi konumu ile size en yakın diş hekimi ve diş hastanesi olabilir. Magnet hastanesinde 7/24 acil diş hekimi hizmeti verebilmektedir. Ankarada açık diş polikliniği arıyorsanız bilgi veya diş randevusu almak için Magnet Hastanesi danışma hattı 0312 212 80 80 nolu telefonu arayabilir, web sitesinden online randevu alabilir veya direk acil diş doktoru muayenesi için gelebilirsiniz.

Paylaş
×
Hemen Ara